摘要:
今天给大家说说关于你做的树脂补牙牢不牢,竟是这些习惯决定的!的内容,爱牙库商城耗材 设备 药品 培训 装修关注固化树脂牙体修复大致步骤为:去净?;?,制备洞形。隔湿,消毒,干燥,垫底,酸蚀,冲洗、干燥,涂 ,下面我们来看看本文究竟说了些什么,有没有对您有点帮助。
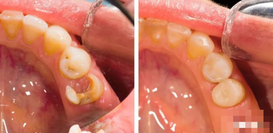
大致步骤为:去净?;担票付葱?。隔湿,消毒,干燥,垫底,酸蚀,冲洗、干燥,涂粘结兰梦婷剂,光照,光固皇家贵族指环有什么用化复合树脂分层充填,抛光。1、去净龋坏时,小心不要穿髓。龋洞比较深时,用挖勺挖去洞底?;底橹喽园踩?。洞型边缘用金钢砂打磨金安高宝影城成45℃斜面。目的:增加粘结力。再去除弱尖薄壁釉质,从而防止洞缘白线的产生。2、排龈。工作牙的邻间隙放一小棉球,可吸收龈沟液。3、过深的窝洞近髓处要用光固化氢氧化钙衬底,衬底前要用棉球隔湿,酒精消毒,三用枪干燥,衬底厚度不超过2mm,并光照10秒。注意:无粘接性垫底材料不应过多覆盖牙本质,更绝对不得覆盖釉质。4、酸蚀剂酸蚀30~60秒,用小棉球擦拭掉半结固状(膏状)酸蚀剂后,用三用枪彻底冲洗酸蚀后的创面15秒,干燥创面(干燥程度根据粘接剂说明书要求):轻吹三下或者棉球擦干。注意:酸量勿多,处理部位应准确不得酸蚀活髓牙本质。5、用直径2~3mm的小棉球(具体根据洞的大小制作棉球)蘸光固化粘接剂涂抹备好的窝洞内壁,涂抹粘结剂的时候,要动态涂抹,就是说要用小棉球不断涂抹5秒(涂抹时间根据说明书要求)。轻吹粘接剂,使之均匀涂满窝洞内表面,光照10秒。6、光固化树脂充填过深的窝洞时,应分层充填,使用三明治技术,每层最厚不得超过2mm,否则光固化灯不易照透,光固化至少20秒,隔牙照射,以防树脂光照结固收缩产生缝隙。7、相邻两牙都有窝洞时,先充填好一个牙,光照、抛光后,用树脂成型片包裹住充填好的牙,然后再充填另一个牙。树脂成型片在涂抹粘结剂后再置入。8、使用专门的充填器械,会有效的避免树脂沾器械,不可以于充填器上涂抹酒精或粘结剂来塑形树脂,因为可造成固化不全(酒精可融解树脂单体;粘结剂全是基质无填料造成树脂性能下降)1、把握住细节,读懂说明书,尽量不要按照个人习惯使用树脂材料。2、了解要使用的材料信息(什么牌、第几代等),材料需要哪些要求(比如湿粘结、涂布、吹干等)。3、隔离唾液和龈沟液(据文献表明。龈沟液的每分钟的分泌量很大,每小时可替换40次左右)4、树脂的厚度(一般来说管固化在保证固化强度后最多只能穿透2MM的数字,所以充填树脂必须分层固化)分层张泊远填充的时候宁薄勿厚,树脂需要人字形填充,最好加热增加流动性,不然边缘难以严密。5、光照时间(必须严格按照树脂说明书标注的时间,不能自己随意缩短)建议每周检测下光固化灯的强度,如果强度不够。需要调整或者增加光照时间。6、修型和抛光。许多人抛光不好造成种植问题。抛光后后牙可以涂布一种特殊的粘结剂,封闭会更好,避免光照后收缩引起的微小细纹,避免微渗漏,并且更硬,避免氧化层,减缓树脂老化。1、上前牙邻面外展隙远中要比近中大些,中切牙邻面接触点恢复在近切端50%处;侧切牙40%;尖牙30%处。2、流动树脂可缓解光固化收缩的问题,适合用在本质支持少的部位来减少固化收缩产生的釉质破裂问题。3、涂抹粘结剂的时候,要动态涂抹,就是说要用海绵小刷子不断涂抹15~20秒再光照。4、不足1mm近髓处,采用氢氧化钙垫底,否则可用流动树脂垫底。5、注意c-factor,采用三角充填法,避免固化牵张效应。6、洞型边缘用小球钻打磨,再抛光去除弱尖薄壁釉质,从而防止洞缘白线的产生。7、树脂黑线原因:树脂溢出洞缘未去除;充填不足;飞边处树脂脱落。8、邻面大面积缺失洞型充填可采用下面小技巧正确恢复邻接点:洞型先部分充填,再与体外固化一小球树脂,压入洞型挤压成型片,同时光固化。12、不可以于充填器上涂抹酒精或粘结剂来塑性树脂,因为可造成固化不全(酒精可融解树脂单体;粘结剂全是基质无填料造成树脂性能下降)14、12号刀片帮助切除无基釉,最好戴放大镜来操作树脂充填。
版权说明:本图文内容来源网络,爱牙库整理编辑,感谢原作者分享,转载仅做分享,不做商用,本账号不对上述摘录的完整性、准确性和真实性负责。如有任何关于版权问题,请及时与我们联系,我们将第一时间进行删除。
点【在看+评论】,上墙哦~
查看隐藏内容