肱骨即上臂骨,上与肩关节相连,下与肘关节相接,是发挥上肢力量、灵活性和稳定性的关键所在。肱骨骨𤆻、折后,考虑到骨折类型、感染情况、神经损伤、愈合能力,以及患者年龄、骨质、配合度、运动期望等方面的因素,可以考虑实施不同类型的治疗。肱骨骨折后的治疗方案及适应证如下所列。

保守治疗
1、治疗手段。骨折后的保守治疗,通常是指手法复位后再使用支具固定,让断骨自行修复的一种治疗手段。保守治疗过程不会产生新的创口,但由于手法复位和支具固定的局限性,可能会出现对线不精准、移位大、骨骼愈合慢等问题。2、适应证。保守治疗大多用于无明显移位或稳定性骨折(例如:外展型、嵌入型的,且不涉及重要神经血管损伤的骨折),另外,对于年龄较大、健康状况差、不能耐受手术、难以配合术后康复训练者,也尽可能采用保守治疗。
手术治疗
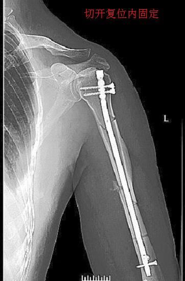
1、治疗手段。肱骨头骨折后的手术治疗,通常都要采用“切开复位内、固定”的外科手段。所谓切开复位内固定,是指将软组织切开,在骨折部位完全暴露的情况下进行复位,并采用牢靠的方法进行固定(例如:打钢钉、接骨板等),最后再将软组织缝合。切开复位内固,定的治疗方法具有复位精准、固定可靠的优点,但也会因为大范围的手术创口给肌肉、皮肤甚至神经组织的愈合带来新问题。2、适应证。手术治疗适用于骨折移位严重的非稳定性骨折、合并重要的血管或神经损伤者、有软组织嵌入骨骼的骨折、体形肥胖者的肱骨骨折(难以通过软组织实施复位和固定)、手法复位失败者、外固定不可靠者、青壮年的陈旧性骨折等情况。
外固定
1、治疗手段。外固定是一种介于切开复位内固定(手术治疗)和保守治疗之间的骨折治疗手段,主要思路就是用克氏针等器械将移位部分复位,在骨折位置上下两端打入稳固装置(例如:钢钉)并通过体外支架连接,以实现骨折部位的固定(如下图所示)。肱骨骨折后外固定的治疗手段不需要进行大范围的软组织切开,还能够较好地保持断端对线,确保骨骼快速愈合;缺点在于外支架的保护相对复杂,需要保持良好的松紧度以确保血运和神经组织功能,;且要定期进行影像检查并调整对线。2、适应证。比较适用于开放型的、肱骨干部位的、伴有广泛软组织挫伤(或存在大范围感染)的肱骨骨折;较少用于肱骨头和肱骨近端的骨折。
人工肩关节置换术
1、治疗手段。人工肩关节置换是指:用人工假体替代肱骨头或(和)盂肱窝,以获得较好的肩关节运动能力,多用于肱骨头部位的骨折。人工肩关节置换有全肩关节置换(替换盂肱窝和肱骨头)和肱骨头置换术(只替换肱骨头)之分,另外还有反置式全肩关节置换术(全肩关节替换,但将肱骨头和盂肱窝换位置)。无论哪种形式的人工肩关节置换术,都涉及大范围的软组织切开,对术后康复过程也有较高要求,但往往不能获得完全的肩关节功能。2、适应证??悸堑饺斯ぜ绻亟谥没?#x778899;术切口大、康复要求高、功能有限等方面的原因,多用于较为复杂和严重的肱骨头骨折(例如:肱骨粉碎性骨折合并盂肱关节脱位,高龄或重度骨质疏松者的肱骨头骨折,肱骨头缺血性坏死等传统手术方法无效者)。



