

关注
【重要通知】来院必读!最新版来院须知请查收!@所有人
11月12日,泉州地区首例应用旋转铰链膝「RHK」进行的全膝关节置换术在上海市第六人民医院骨科副主任、主任医师,上海六院福建医院副院长沈灏教授的主刀下顺利完成,这意味着,上海牧通人才网市第六人民医院又一项新技术落地晋江,为严重关节畸形患者带来福音。
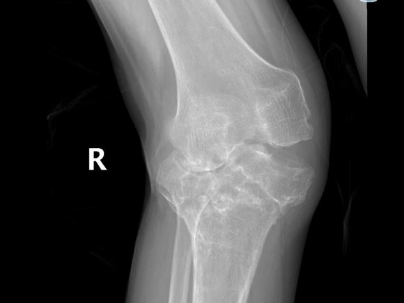
58岁的尤大叔是晋江内坑人,9年前因外伤导致右侧胫骨近端骨折,在外院进行手术治疗。但术后恢复欠佳,尤大叔行走状况逐渐受限,右膝关节严重外翻,因经济原因一直未进行系统治疗,生活、工作上带来的不便让他苦不堪言。


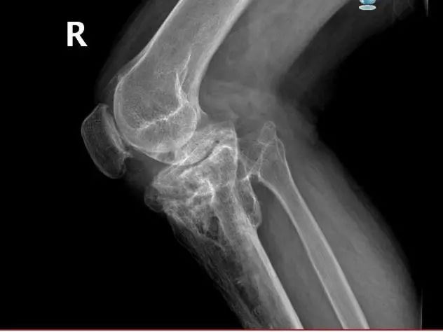
▲严重外翻畸形



▲术前影像
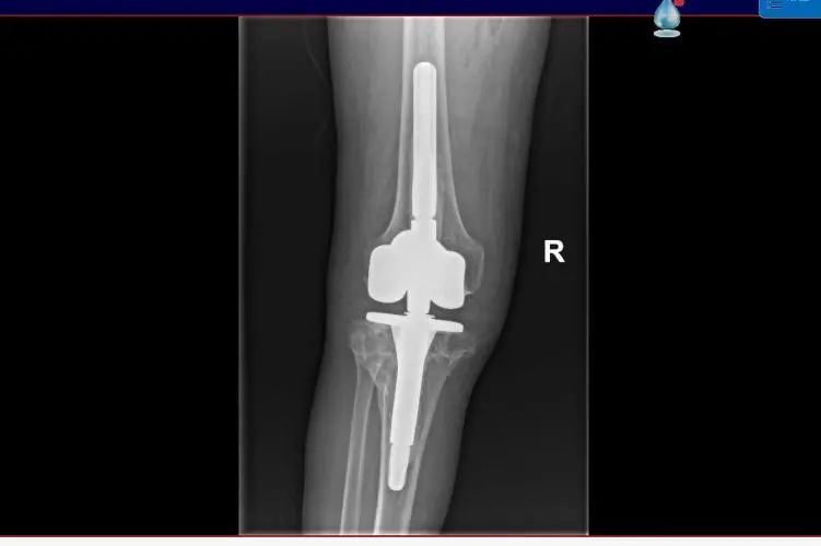
11月10日,受益于“我为群众办实事”实践活动——“晋江市髋膝关节置换救助工程”项目,尤大叔入院进行手术治疗??悸堑交颊呦ス亟谘现夭晃榷?、韧带功能丧失,上海市第六人民医院骨科副主任、主任医师,上海六院福建医院副院长沈灏教授选择了旋转铰链膝对患者行全膝关节置换术。

12日,手术顺利完成,尤大叔患者膝关节的运动功能恢复良好,手术后第一天就开始进行床上屈伸活动,第二天开始逐渐下地站立、行走。据了解,尤大叔将于11月16日出院。



▲术后影像
“太感谢专家了,没想到困扰我九年多的问题,入院一个礼拜就解决了?!庇却笫寮ざ乇硎?,原先的状态连最简单的站立都无法做到,术后仅三天就已经能够下地行走了。
sndagame 已关注 关注 退出全屏 切换到竖屏全屏 福建省晋江市医院 分享视频 进度条,百分之0 继续观看
【技术分享】泉州地区首例!上海六院福建医院又有新技术上线!
已关注 杏璃之夏日物语 关注 退出全屏 切换到竖屏全屏 福建省晋江市医院 分享视频 进度条,百分之0 继续观看【技术分享】泉州地区首例!上海六院福建医院又有新技术上线!
▲点击视频查看患者术后右膝活动状态

沈灏指出,人工膝关节置换手术是临床治疗膝关节疾病的常用手段,但膝关节表面置换假体通常适用于绝大多数的初次膝关节置换手术,对于部分严重畸形的膝关节病变及需要翻修的关节而言,普通表面型假体就显得力不从心,需要使用特殊设计的限制型假体来治疗?!靶铝聪プ魑拗菩约偬宓木渖杓?,为复杂手术中面临的严重骨缺损、韧带缺失等问题提供了简便的解决方案,使手术更安全、高效?!?/p>
“此次的外科前沿技术的开展不仅造福了患者,也让我们骨科临床医生受益匪浅?!辈斡胧质醯慕幸皆汗强聘敝魅我绞π碛廊ㄋ?。创伤性膝关节炎是比较难治的疾病,往往伴有骨畸形愈合,骨缺损,活动受限及韧带缺失等问题,造成关节的严重畸形和不稳定,施行人工全膝关节置换术的难度将会加大。本例患者由于创伤骨折造成严重的后遗症,正是通过该项技术得到快速可靠治愈,相信患者在不久将来能够重新获得正常的行走功能,解除困扰多年的病痛。
1
END
1
延伸阅读
延伸



图 / 骨科 许永权
文、整理编辑 /唐诗莹

THE END
学习·创造·分享·共赢
预约咨询电话
85812320~


晋江市医院

福建省晋江市医院




